La Clínica

Tener la seguridad y tranquilidad de contar a tu lado con un equipo humano formado por los mejores especialistas en tratamientos dentales da confianza.

La Clínica Dental Juan de la Cierva en Getafe lleva 25 años creando sonrisas, porque ese es nuestro objetivo a través de un servicio cercano y de calidad, donde lo primero es crear una relación de confianza con el paciente, y esto se refleja en la forma de atender a nuestros pacientes y sobre todo en el tiempo dedicado a ellos.

El resultado, clientes satisfechos a lo largo de estos años, trabajamos con familias enteras, desde abuelos, padres e hijos. Sus sonrisas y recomendaciones son nuestro mejor aval.

Financiamos tus tratamientos, ¡Pregúntanos!

Ortodoncia

Especialidad de la odontología que se encarga de estudiar y corregir las malas posiciones dentales

Odontopediatría

Rama de la odontología que cuida la salud bucal de los niños desde sus primeros años.
Su objetivo es prevenir, detectar y tratar problemas dentales a tiempo.

Endodoncia

Intervención que se realiza para intentar conservar un diente que de otra manera tendría que ser extraído

Estética dental

Conjunto de tratamientos dentales orientados al diseño de la sonrisa del paciente

Implantes dentales

Raíz artificial, que sustituye la raíz del diente y sobre la que posteriormente se coloca la prótesis

Periodoncia

Prevención, diagnóstico y tratamiento de las enfermedades de las encías y los tejidos de soporte de los dientes

Cuidamos de nuestros pacientes

Antes de realizar cualquier tratamiento le dedicamos mucho tiempo a algo de gran importancia: comunicarnos con la persona que vamos a atender.

No solo vamos a tratar una boca, sino a una persona, con sus dudas, miedos, expectativas y el tiempo es necesario para establecer una relación de confianza mutua, por ello la atención al paciente es básica.

En la primera visita se le realiza una exploración inicial donde se sigue un protocolo de diagnóstico minucioso, con el fin de definir un plan de tratamiento.

De nuevo aquí dedicaremos el tiempo necesario para comunicarle los datos en que basamos el diagnóstico y la indicación de tratamiento.

En definitiva, nuestro objetivo es conocer lo que usted espera de nuestra clínica dental e informarle adecuadamente sobre sus necesidades y posibilidades de tratamiento, solo así es posible ganar la confianza mutua en la queremos basar nuestra futura relación.

¡Pide cita ahora en tu clínica dental en Getafe!

Más de
25 años
creando

sonrisas

Las instalaciones

Nuestras instalaciones están diseñadas para transmitirte tranquilidad y la seguridad de que estás siendo tratado por los mejores especialistas, equipado con tecnología puntera en el sector dental.

Toda la tecnología presente en cada uno de nuestros gabinetes nos ayuda a cuidar de tu sonrisa con precisión, pero también un equipo que sabe escucharte y explicarte cada paso.

Aquí no solo tratamos dientes, cuidamos personas. Y por eso hemos creado un lugar donde tú y tu familia os sintáis seguros, cómodos y confiados en que estáis recibiendo lo mejor.

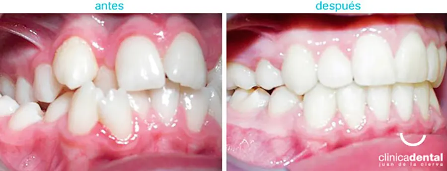
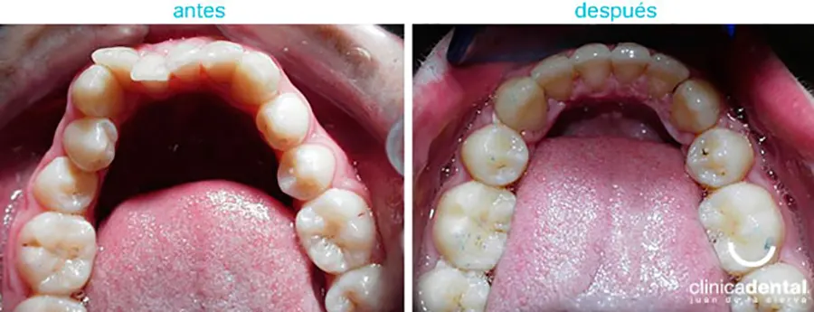
Casos clínicos

En Clínica Dental Juan de la Cierva, ubicada en Getafe, somos especialistas en tratamientos dentales como:

En nuestra la galería podrás ver alguno de los casos clínicos tratados por nuestros especialistas dentales en la Clínica Dental Juan de la Cierva.